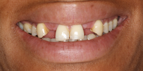
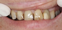
Severe tooth wear restored with all-ceramic crowns
Donna decided to seek help as her teeth were wearing away after years of drinking hot water and lemon. First Donna received root canal treatment, gum surgery and whitening. Working closely with our dental laboratory and using old photographs, we recreated her smile, bringing her teeth back to their original lengths and shapes, by fitting six front ‘Lava’ all-ceramic crowns. "I first visited Dr Katrina Mc Kevitt at Appletree Dental Care in Jan 2012. The enamel on my front teeth was very badly eroded. Katrina gave me a written plan of all the procedures she recommended, including root canals, and crown lengthening by her colleague Dr Conor Mc Enhill, and crowns. After just four visits the appearance of my teeth was much improved and by August all dental work was completed. I am very happy with the results and the whole process was painless. The staff are very professional and friendly, and I highly recommend Appletree Dental care." Donna.
Seanan
"It was a very simple procedure - A moulding was taken of my teeth on the first appointment, and on the second appointment I got my retainer and tubes of teeth whitening, with simple instructions from the Appletree team. I used the whitening every night for the first week, now I only have to use it whenever is needed, and my teeth are refreshed and brightened within one use. I'm so happy with the results of teeth whitening that Appletree provided me with. I didn't think it was possible to get rid of my black tooth with such a simple procedure, and it only took about a week for the results to show! Thanks a million Appletree."
Joan
Joan wanted to improve the colour of her teeth but still retain a natural look. All porcelain crowns were done on the four front teeth. The upper right fourth tooth was also restored with root canal treament, a fibre post and core, and a crown.
Paul
"In February 2011 I decided to get some dental work done. I had a smile tooth missing since I was a teenager and was always conscious when I smiled. I enquired in the south of Ireland and found it was expensive to have the work I needed done. I then rang Appletree Dental Care and I was happy with their price list, so I made an appointment. When I had my consultation, Dentist Joanne Redpath explained to me the options available. I decided the best option for me was to have a bridge done. I was also informed that I needed two fillings and tooth whitening and it would take 5 sittings to complete the work. I was given an itinerary and breakdown of the price as to what would be done on each sitting. I found this very helpful as I knew in advance what I would be having done on every visit. During my visits with Joanne I never felt nervous, as like most people I am not to fond of the dentist, but any questions I had in relation to my work were explained in detail. I never felt uncomfortable or in any pain at any time. I was continually asked if I was okay throughout the process. I am employed as a bus inspector and meet so many people on a daily basis I now feel so much more confident when I smile. My only complaint is that I didn't get it done sooner. I had not been to a dentist for many years and would only ever go if I had no other option, but after my experience at Appletree I would have no hesitation in recommending it. I would like to take this opportunity to thank Joanne and all the staff at Appletree."
Brian
I heard about appletree dental care through a sister in-law,and I'm really glad I did.I recently had some fillings, also two crowns and a veneer.So I'd like to take this time to thank all the staff from the receptionist who makes you feel very welcome right from the start,through to the hygienist and all the assistants who helped. And last but not least to Dr Katrina McKevitt a huge massive thank you for the excellent work she did on my teeth who I would highly reccomend to anybody who's thinking of having dental work done
2012 UK Smile Awards winning Case. Best single implants smile
This case demonstrates the aesthetic issues faced with missing front teeth. The treatment won Dr McEnhill the coveted best single implant prize at the 2012 UK Smile Awards in London. The patient had congenital absence of her upper lateral incisors. A course of tooth whitening and the provision of implant crowns yielded a result that is indistinguishable from nature. The crown and implant abutment are made from all-ceramic materials. Further close-up photographs of this case can be found on the Single Tooth page under the Implants section of the website.
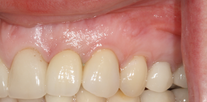
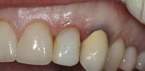
Implant crowns to upper incisor and canine
The ‘before’ photograph shows failing upper teeth and poor aesthetics. Treatment planning was aimed at improving the aesthetics with two implant crowns. The ‘after’ photograph shows the final crowns in place. Modern ceramic materials like these allow for results that are indistinguishable from nature. A period of several months with transitional temporary crowns was required in this case to optimise the gum position and emergence profile of the final crowns.
Veneers to disguise small rotated front teeth
This young man had small ‘Peg’ shaped lateral incisors and wanted a quick fix to improve the appearance of his smile. Two porcelain veneers were made which are bonded to the natural enamel on his teeth and the colour selected to get a perfect match with his other natural teeth. This treatment was completed in two weeks and should provide a strong, long lasting result.
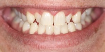
Front teeth restored with all-ceramic Crowns
Six crowns to front teeth and tooth whitening. "I can't thank Joanne and all the team enough - I had six crowns on the top front. For years I hated my smile, now I never stop. I would highly recommend Appletree. From the minute you walk in you will be put at ease. They are very caring, gentle and truly concerned with your comfort and go out of their way to make that happen. The only thing I'm sorry about is not going years sooner." Anonymous
